济南南郊医院骨一科 | 锦旗传颂,医术仁心暖人心扉!
在济南南郊医院骨一科,每一天都上演着生命的奇迹与希望的绽放。最近,这里又迎来了一面充满感激与敬意的锦旗,它不仅是患者对孙焕科主任及全体医护人员的深深感谢,更是对医院“人本位”医疗模式的最高赞誉。
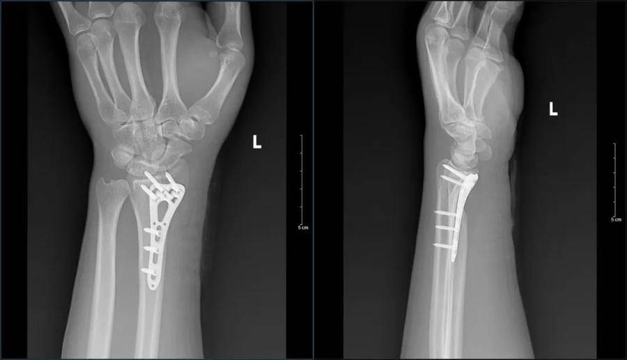
记得那天,伤者因车祸外伤被紧急送入济南南郊医院急诊科,家人焦急万分,伤者痛苦不堪。急诊科医疗团队立即为其进行妥善处置与针对性检查。经过医学影像检查,患者左桡骨远端骨质中断,断端略分离移位,骨折线至桡关节面;左腕其余骨未见明显骨折征象;左腕部软组织增厚呈肿胀表现。
伤者伤情明确,孙焕科主任带领团队迅速制定了详细的治疗方案。经过精心手术——桡骨远端钢板固定,以及术后细致的康复指导,患者不仅伤口快速愈合,而且肢体功能也恢复得十分良好。
在这段治疗过程中,骨一科的医护人员不仅展现了高超的医疗技术,更用他们的爱心和耐心,为患者和家属提供了无微不至的关怀。他们细心地观察病情,耐心地解答疑问,温暖地安抚情绪,让患者和家属在冰冷的医院里感受到了家的温暖。
“医德医术传四方,爱心天使暖人心”,这不仅仅是一句简单的赞美,更是对济南南郊医院骨一科医护人员辛勤付出的最好诠释。他们用实际行动诠释了医者仁心的真谛,用精湛的医术和温馨的服务赢得了患者的信任和尊重。
济南南郊医院一直以来都坚持“人本位”的医疗模式,致力于为患者提供最优质、最人性化的医疗服务。骨一科作为医院的重要科室之一,更是将这一理念贯彻到了日常工作的方方面面。从入院接诊到出院康复,从手术治疗到心理疏导,骨一科的医护人员都始终坚持以患者为中心,全心全意为患者服务。
这面锦旗,不仅是对骨一科医护人员辛勤工作的肯定,更是对济南南郊医院“人本位”医疗模式的最好宣传。我们相信,在全体医护人员的共同努力下,济南南郊医院一定能够为广大患者提供更加优质、更加温馨的医疗服务,让更多的人感受到医者仁心的温暖和力量。
