七旬盲翁二十年鼻塞终得解 南郊医院耳鼻喉科精准施治显仁
70岁的张大爷(化名)自幼双目失明,生活本就充满诸多不便,而二十年前开始出现的左侧鼻塞,更让他的日子雪上加霜。起初只是偶尔不通气,后来逐渐发展为持续性堵塞,还伴有流脓鼻涕、嗅觉丧失。近三年来,连右侧鼻子也“罢工”了,遇冷时喷嚏连连,浓稠的鼻涕难以擤出,鼻塞加重时,还会引发鼻部及前额、太阳穴胀痛。由于行动不便,加上从未接受过系统治疗,张大爷一直默默忍着病痛。直到家人听说济南南郊医院耳鼻喉科技术精湛,这才搀扶着老人慕名前来求诊。

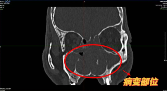
耳鼻喉科杨钦龙主任详细询问病史,结合触诊与鼻内镜检查,发现其双侧鼻腔布满息肉样组织,中鼻道及嗅裂被完全堵塞,多个鼻窦存在炎症积液,诊断为“慢性鼻窦炎伴鼻息肉、鼻中隔偏曲”。考虑到患者高龄、基础病多且长期缺氧影响全身状态,杨主任团队为其制定了“鼻内窥镜下多鼻窦开窗+鼻息肉切除”的微创方案,既能彻底清除病灶,又能最大限度保护鼻腔功能。
手术在杨主任丰富的临床经验,在鼻内镜高清视野下精准定位病变范围中精确完成。术后第二天,张大爷便觉呼吸通畅,久违的清新空气让他激动地反复摸索着说:“通了!通了!”
目前,张大爷正按医嘱进行鼻腔冲洗与药物治疗,恢复情况良好。这场跨越二十年的“通气之战”,不仅解除了老人的生理痛苦,更以精准医疗与人文关怀,为患者的健康之路点亮了一盏温暖的灯。
