膝痛终消 步履生风——南郊医院骨二科团队助患者重获行走自由
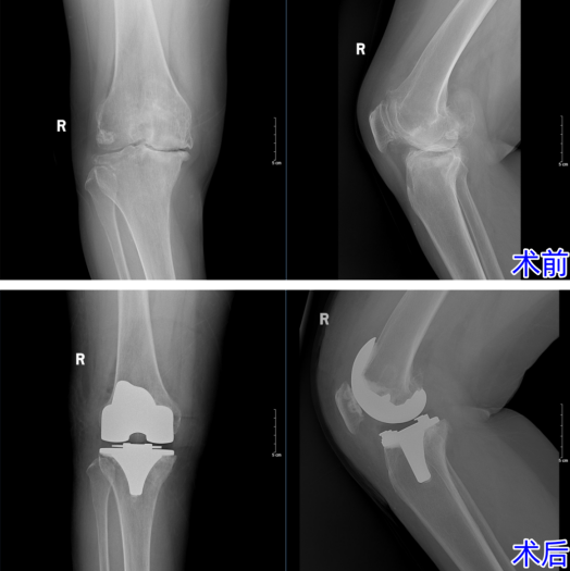
长久以来,膝盖的剧痛如同无形的锁链,紧紧束缚着59岁的王女士(化名)。右膝骨性关节炎的步步侵蚀,让她从活动受限发展到寸步难行,腿部变形带来的不仅是身体的残疾,更是尊严的无声坠落。在多方求诊无果后,她慕名来到济南南郊医院,将最后的希望寄托于骨二科杨学良主任团队。

面对这位典型的疑难病例,杨主任团队没有丝毫懈怠。经过缜密的术前评估与个性化方案制定,杨主任亲自操刀,凭借对解剖结构的精准把控与炉火纯青的技术,成功实施了膝关节置换术。术中,病变组织被精准清除,畸形得以矫正,人工关节精准复位。
术后,在医护团队的悉心照料下,王女士迎来了奇迹般的转变。膝关节的僵硬感消失,活动度大幅提升,变形的腿部恢复了正常力线。这场手术,不仅仅置换了一个关节,更置换回了王女士对生活的热爱与尊严。
