首页
医疗服务
|
患者及来访
|
圣玛丽亚活动
|
关于南郊医院
|
会员专区
|
回收站
|
圣玛丽亚环境(科室显示)
|
肛肠科
|
乳腺甲状腺外科
|
特色医疗
|
品鉴圣玛丽亚
|
报名
|
内科
|
外科
|
营养中心
|
心理咨询
|
科普园地
|
儿童保健科
|
超声科
|
投稿中心
|
骨科
|
重症医学科
|
肿瘤科
|
肾内科
|
耳鼻咽喉科
|
骨三科(脊柱外)
|
骨二科(关节外)
|
泌尿外科
|
急诊医学科
|
康复医学科
|
核医学科
|
体检中心
|
颌面外科
|
产科资讯
|
脑科
|
心内科
你的位置:
济南圣玛丽亚妇产医院—一生荣耀 尽显尊贵【官方网站】
12-04
暖心医疗护安康,真挚感谢信致骨一科医疗团队
11-17
“信” 任满满,赞誉滔滔|十封感谢信致谢骨一科医护团队
11-07
骨一科成功救治一例手臂严重挤压伤患者,医护团队获锦旗致谢
11-04
“人本位服务”温暖患者,骨一科护理团队获感谢信
10-26
取出胫腓骨骨折术后断裂的钢板,骨一科团队获患者家属锦旗感谢
10-17
仁心仁术铸生命防线,妙手丹心展医者担当|骨一科团队再获称赞
10-05
生命时速,济南南郊医院骨一科团队成功救治车祸重伤患者
10-03
“人本位”医疗再续生命之约,骨一科团队成功救治高龄骨折患者
08-14
医者仁心,锦旗传颂|济南南郊医院骨一科再获殊荣
08-07
业务院长崔海银为骨一科倾囊相授,助其医疗安全再提升
07-03
骨一科团队专业医术与无私爱心,获患者家属感谢信致谢
05-06
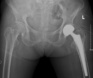
济南南郊医院骨一科成功为93岁高龄老人实施股骨头置换术
04-17
济南南郊医院骨一科 | 锦旗传颂,医术仁心暖人心扉!
03-27
济南南郊医院骨一科手术团队成功为矽肺患者实施全髋关节置换术
03-12
南郊医院骨一科成功为右股骨颈骨折患者实施“人工股骨头置换术”
治疗方式
更多>>
02-25
椎间盘手术术后科普
02-25
CT定位+椎间孔镜”---脊柱感染病灶清
02-25
CT定位+椎间孔镜”---脊柱病灶取活检术
02-25
“CT定位+椎间孔镜”治疗椎间盘突出症
02-25
老年骨质疏松性压缩骨折的治疗
02-25
脊柱骨折的治疗
图文资讯
暖心医疗护安
“信” 任满
骨一科成功救
“人本位服务
取出胫腓骨骨
仁心仁术铸生
生命时速,济
“人本位”医
医者仁心,锦
业务院长崔海
骨一科团队专
济南南郊医院
子分类
治疗方式
骨科
济南圣玛丽亚妇产医院骨科服务项目简介
最新评论
12-04
暖心医疗护安康,真挚感谢
11-17
“信” 任满满,赞誉滔滔
11-07
骨一科成功救治一例手臂严
11-04
“人本位服务”温暖患者,
10-26
取出胫腓骨骨折术后断裂的
10-17
仁心仁术铸生命防线,妙手
10-05
生命时速,济南南郊医院骨
10-03
“人本位”医疗再续生命之
08-14
医者仁心,锦旗传颂|济南
08-07
业务院长崔海银为骨一科倾